دراسة بالرنين المغناطيسي تكشف تأثيرات طويلة الأمد لكوفيد-19 على الدماغ

أظهرت دراسة علمية حديثة أن فيروس كوفيد-19 قد يترك آثارًا طويلة الأمد على الدماغ، حتى لدى المتعافين تمامًا، بمن فيهم أولئك الذين لم تظهر عليهم أعراض حادة. توصلت الأبحاث، التي أجريت في جامعة غريفيث الأسترالية، إلى وجود تغييرات في بنية الدماغ ووظائفه لدى المصابين، مما يثير تساؤلات حول الآثار العصبية طويلة المدى للجائحة. هذه النتائج تؤكد الحاجة إلى مزيد من الدراسات لفهم كامل نطاق تأثير كوفيد-19 على الصحة العصبية.
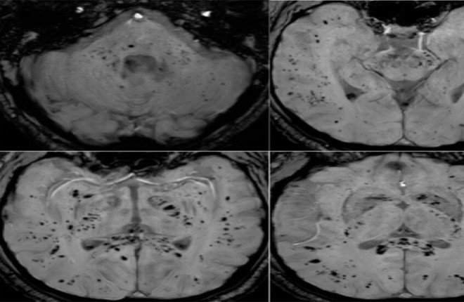
نُشرت الدراسة في مجلة Brain, Behavior, & Immunity Health، وتستند إلى تحليل صور الرنين المغناطيسي لأدمغة مجموعة من المتعافين من كوفيد-19. أجريت الأبحاث على أشخاص من مختلف الأعمار ومستويات شدة الإصابة، مما يوفر رؤى شاملة حول تأثير الفيروس على الدماغ. تأتي هذه النتائج في وقت يزداد فيه القلق بشأن الأعراض طويلة الأمد المرتبطة بـ كوفيد-19، والمعروفة أيضًا باسم “كوفيد طويل الأمد”.
تأثير كوفيد-19 على الدماغ: ما الذي كشفته الدراسة؟
استخدم فريق البحث تقنيات تصوير الرنين المغناطيسي المتقدمة لتحليل المادة الرمادية والمادة البيضاء في الدماغ. المادة الرمادية مسؤولة عن معالجة المعلومات، بينما تلعب المادة البيضاء دورًا حاسمًا في توصيل الإشارات بين مناطق الدماغ المختلفة. وفقًا للدكتور كيران تاباليا، الباحث الرئيسي في الدراسة، أظهرت النتائج اختلافات واضحة في كلتا المادتين لدى المتعافين من كوفيد-19.
التغيرات في بنية الدماغ
أظهرت الدراسة انخفاضًا في حجم بعض مناطق الدماغ، خاصة تلك المرتبطة بالذاكرة والوظائف الإدراكية. بالإضافة إلى ذلك، لوحظت تغييرات في بنية المادة البيضاء، مما قد يؤثر على كفاءة الاتصال العصبي. هذه التغيرات الهيكلية قد تفسر بعض الأعراض العصبية طويلة الأمد التي يعاني منها العديد من المتعافين من كوفيد-19، مثل صعوبة التركيز وضعف الذاكرة.
التأثير على المواد الكيميائية العصبية
لم تقتصر التغييرات على بنية الدماغ فحسب، بل شملت أيضًا مستويات المواد الكيميائية العصبية، مثل الدوبامين والسيروتونين. هذه المواد الكيميائية تلعب دورًا حيويًا في تنظيم المزاج والسلوك والوظائف الإدراكية. تشير النتائج إلى أن كوفيد-19 قد يؤثر على التوازن الكيميائي في الدماغ، مما قد يساهم في ظهور أعراض مثل القلق والاكتئاب.
الأعراض طويلة الأمد لكوفيد-19 والصحة العصبية
تتوافق هذه النتائج مع التقارير المتزايدة حول الأعراض طويلة الأمد التي يعاني منها العديد من المتعافين من كوفيد-19. تشمل هذه الأعراض التعب المزمن، وضباب الدماغ، وصعوبة التركيز، وفقدان حاسة الشم أو التذوق. وفقًا لمنظمة الصحة العالمية، لا تزال هذه الأعراض تمثل تحديًا صحيًا كبيرًا، وتتطلب مزيدًا من البحث والفهم.
بالإضافة إلى ذلك، تشير بعض الدراسات إلى أن كوفيد-19 قد يزيد من خطر الإصابة بأمراض عصبية أخرى، مثل مرض الزهايمر ومرض باركنسون. ومع ذلك، لا يزال من السابق لأوانه تحديد ما إذا كان هناك علاقة سببية مباشرة بين كوفيد-19 وهذه الأمراض. الأبحاث جارية لتقييم المخاطر طويلة الأمد بشكل كامل.
الالتهابات العصبية هي أيضًا مجال اهتمام متزايد. تشير بعض النظريات إلى أن كوفيد-19 قد يؤدي إلى استجابة التهابية في الدماغ، مما قد يسبب تلفًا عصبيًا. هذا الالتهاب قد يستمر لفترة طويلة بعد الإصابة الأولية، مما يساهم في ظهور الأعراض طويلة الأمد. صحة الدماغ بشكل عام تتأثر بشكل كبير بالالتهابات.
الخطوات التالية والمستقبل
يخطط الباحثون لمواصلة دراسة تأثير كوفيد-19 على الدماغ على المدى الطويل. تشمل الخطوات التالية إجراء دراسات طولية لمتابعة التغيرات في الدماغ بمرور الوقت، وتقييم فعالية العلاجات المختلفة في تخفيف الأعراض العصبية. من المتوقع أن تتوفر نتائج إضافية في غضون عامين، مما قد يوفر رؤى أعمق حول الآثار العصبية طويلة المدى للجائحة. من الضروري أيضًا الاستمرار في مراقبة ظهور أعراض جديدة وتقييم المخاطر المحتملة على الصحة العصبية.
في الوقت الحالي، يوصي الخبراء بأهمية الحصول على التطعيم ضد كوفيد-19 واتباع الإجراءات الوقائية للحد من خطر الإصابة. بالإضافة إلى ذلك، يجب على الأشخاص الذين يعانون من أعراض طويلة الأمد طلب العناية الطبية المناسبة والحصول على الدعم اللازم.





