دراسة صادمة تكشف.. القلق والدوار قد يكونان إنذارًا مبكرًا لأورام الدماغ!

في اكتشاف طبي لافت، كشفت دراسة حديثة أن القلق النفسي والدوخة لا يرتبطان فقط بالأورام الدماغية الحميدة كأعراض جانبية، بل قد يلعبان دورًا مباشرًا في تفاقمها.
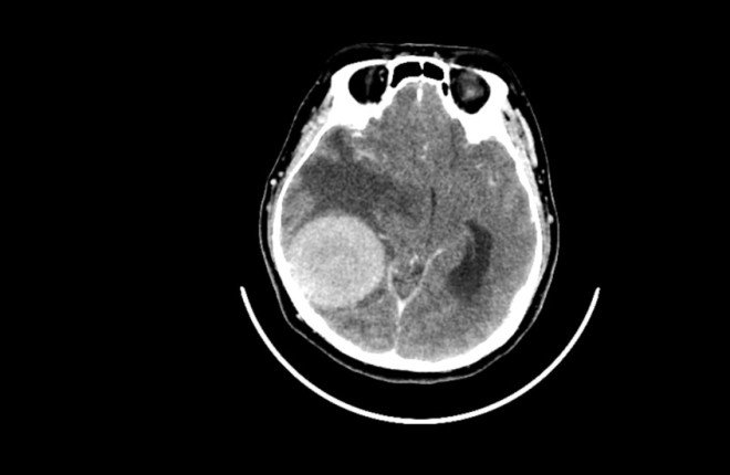
الدراسة، التي أجراها باحثون من جامعة واشنطن، ركزت على الورم الشفاني الدهليزي أو ما يُعرف بـ ورم العصب السمعي، وهو ورم حميد يصيب العصب المسؤول عن السمع والتوازن وينمو ببطء.
نتائج مقلقة:
أظهرت النتائج أن المرضى الذين يعانون من القلق النفسي سجّلوا مستويات أعلى من الإعاقة الناتجة عن الدوار بنسبة 14 نقطة في المقياس المعياري مقارنة بغير المصابين بالقلق، ما يشير إلى تفاعل قوي بين الحالة النفسية وشدة الأعراض العصبية.
حلقة مفرغة من المعاناة:
توضح الدراسة أن العلاقة بين القلق والدوار ليست أحادية الاتجاه، بل تتغذى كل منهما على الآخر، فكلما زاد القلق تفاقم الدوار، وكلما زادت الدوخة ارتفع مستوى القلق، مما يُدخل المريض في دوامة نفسية وجسدية مرهقة.
مفارقة غريبة:
المثير للدهشة أن المرضى الذين فقدوا سمعهم — وهو أحد الأعراض الرئيسية للورم — كانوا أقل تأثرًا بالدوار مقارنة بمن احتفظوا بقدرتهم السمعية. ويرجّح الباحثون أن غياب التحفيز السمعي قد يقلل من اضطرابات التوازن المرتبطة بالورم.
توصيات طبية جديدة:
تدعو الدراسة إلى إعادة النظر في طرق علاج الأورام الدماغية الحميدة، من خلال دمج العلاج النفسي وتقنيات اليقظة الذهنية وإدارة التوتر ضمن خطة العلاج الطبي.
كما شدّد الباحثون على أهمية أن يتبنى الأطباء منظورًا شاملاً في التشخيص والعلاج، يأخذ في الاعتبار التداخل بين العوامل النفسية والجسدية.
وتؤكد النتائج أن فهم الأمراض العصبية لا يكتمل دون دراسة تأثير الحالة النفسية للمريض، ما يسلّط الضوء على البعد الإنساني العميق للمرض، حيث تتقاطع المشاعر مع الأعراض لتشكّل التجربة المرضية بكل تفاصيلها.
للمزيد تابع خليجيون نيوز على: فيسبوك | إكس | يوتيوب | إنستغرام | تيك توك





